غزة

19°

وكالة شمس نيوز الإخبارية - Shms News || آخر أخبار فلسطين

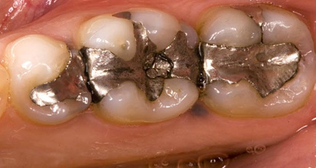
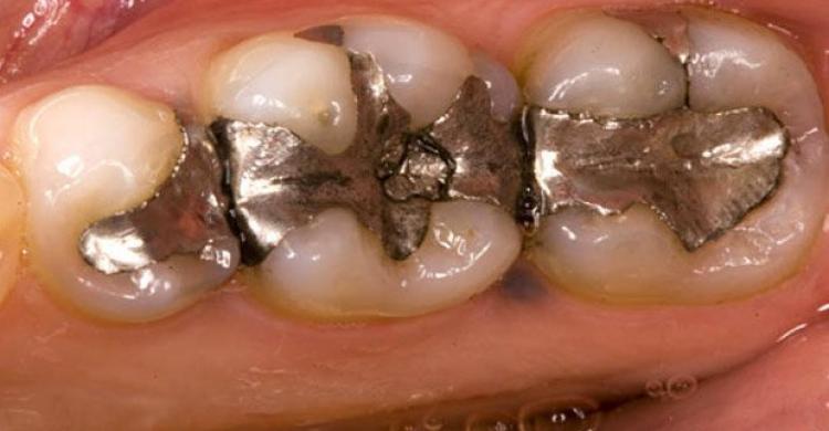
خبر احذروا الحشوات المعدنية

شمس نيوز/ تركيا

قالت دراسة تركية حديثة، إن استخدام الحشو المعدني للأسنان يمكن أن يسرب مادة الزئبق إذا تعرض لفحص طبي بالأشعة فائقة القوة.

الدراسة أجراها باحثون بجامعة البحر الأبيض المتوسط التركية، ونشروا نتائجها في العدد الأخير من دورية (Radiology) العلمية.

ودرس العلماء تأثير أشعة الرنين المغناطيسي فائقة القوة التي تعد أحدث وسائل تكنولوجيا المسح بالأشعة في كثير من المستشفيات البحثية.

ولا تستخدم تقنيات الأشعة الفائقة على نطاق واسع، غير أنها تساعد في البحوث الطبية.

وللتوصل إلى نتائج الدراسة، قام الفريق بقياس كمية الزئبق المتسربة من 60 سن انتزعت وخضعت لحشو الزئبق مع وضعها في 60 وعاء منفصلا من اللعاب الصناعي.

وأظهرت النتائج أن التعرض لمدة 20 دقيقة تكفي لإطلاق مادة سامة من أسنان محشوة بمادة الزئبق الفضية.

وتوصل الفريق إلى، أن محتوى الزئبق جاء أعلى بواقع 4 أضعاف في الأوعية التي خضعت لأشعة الرنين المغناطيسي فائقة القوة، مقارنة بالأوعية الأخرى المحكمة والأوعية التي تعرضت لأشعة رنين مغناطيسي تقليدية.

ورغم أن الحشو المعدني استبدل حاليًا بحشوات مركبة بيضاء أو خزفية، إلا أنه ما زال الأكثر شيوعًا لدى أطباء الأسنان في الكثير من المراكز الطبية.

ويستخدم الأطباء غالبًا الأسنان الخلفية لأنها الأكثر تماسكًا، في حين يستخدم الحشو الأبيض غالبًا مع الأسنان الأمامية المكشوفة.

وقال الدكتور سيلمي يلماظ قائد فريق البحث في جامعة البحر الأبيض المتوسط: "ليس من المعروف قدر امتصاص الجسم لهذا الزئبق المسرب".

وأضاف، أن هناك حاجة إلى إجراء المزيد من الدراسات بما يكفل التوصل إلى المخاطر الحقيقية.

ويعد الزئبق مادة سامة للإنسان، ويمكن أن يسبب آثارًا سامة في حالة الجرعات العالية بما يكفي.

وكان البرلمان الأوروبي قد صوت لمصلحة تقليل تدريجي لاستخدام الزئبق في الأسنان لحماية البيئة بدلاً من الأسباب الصحية المباشرة.