غزة
19°
الثلاثاء
19° - 19°
الأربعاء
25° - 25°
الخميس
18° - 18°
الجمعة
18° - 18°
السبت
19° - 19°
الأحد
18° - 18°
الرئيسية
من نحن
اتصل بنا
اعلن معنا
تقارير وحوارات
الرئيسية
من نحن
اتصل بنا
اعلن معنا
تقارير وحوارات
بحث
الرئيسية
صحة وطب
خبر
ماذا تأكل لتقوّي مناعتك؟
18 أكتوبر 2015
خبر
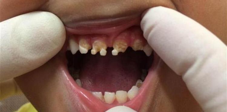
هذا ما يحدث لأسنان الأطفال المدمنين على المشروبات الغازية
18 أكتوبر 2015
خبر
الحصبة تحصد أرواح المئات بالكونغو الديمقراطية
17 أكتوبر 2015
خبر
خمسة أمور تحصل لك عند التوقف عن تناول السكريات
14 أكتوبر 2015
خبر
التعب المستمر قد يرجع إلى نقص الحديد
14 أكتوبر 2015
خبر
الزبيب ينشط خلايا المخ ويزيد التركيز
14 أكتوبر 2015
خبر
أفضل علاج طبيعي للسعال الجاف والعادي
12 أكتوبر 2015
خبر
الكمثرى تعالج مشكلات الهضم
12 أكتوبر 2015
خبر
جراحة تخفيف الوزن قد تدفع للانتحار
11 أكتوبر 2015
خبر
هل وضع ساق على ساق ضار؟
11 أكتوبر 2015
خبر
عوادم السيارات تسبب سرطان الدم للأطفال
08 أكتوبر 2015
خبر
وصفات منزلية لمحاربة الهالات السوداء
08 أكتوبر 2015
خبر
زراعة أنف في جبهة بريطاني لتعويض آخر فقده بالسرطان
08 أكتوبر 2015
خبر
الباذنجان لخفض الكولسترول ومحاربة السرطان
07 أكتوبر 2015
خبر
هل يخفف الجوع من الوزن الزائد؟
05 أكتوبر 2015
خبر
تناول الجبن مفيد.. بشروط
05 أكتوبر 2015
خبر
غسل الأطباق يقلل الضغط والعصبية
04 أكتوبر 2015
خبر
الخس مثالي لتحفيز الشهية وتنشيط الهضم
03 أكتوبر 2015
خبر
كيميائياتنا السامة تقتل منا الملايين
03 أكتوبر 2015
خبر
كيف نكتشف إذا كان زيت الزيتون مغشوشا؟
02 أكتوبر 2015
الأكثر قراءة
إصابات واعتقالات على يد قوات الاحتلال في مخيم الجلزون
بعد خرقه للاتفاق..جيش الاحتلال يزعم: العودة إلى وقف إطلاق النار بغزة!
مستوطنون يقتحمون الأغوار الشمالية
لماذا غيّر نتنياهو اسم حرب الإبادة على غزة؟
زوارنا يتصفحون الآن
الجهاد الإسلامي: ادعاءات الاحتلال حول النصيرات كاذبة ونحمله مسؤولية خرق وقف إطلاق النار
10:28 ص
ترامب يمهل حماس "48"ساعة..ماذا يريد؟!
12:28 ص
الجهاد الإسلامي في الذكرى الثلاثين لاستشهاد الشقاقي.. سنستمر بالمقاومة حتى تحرير فلسطين
08:24 ص
واشنطن توقف خطة "إسرائيلية" لفرض عقوبات على غزة
02:01 م
1
...
255
256
257
258
259
...
312
خبر عاجل